數位式細胞電壓電阻偵測儀 MERCK Millicell® ERS 3.0 Digital Voltohmmeter
數位式細胞電壓電阻偵測儀 cat no. MERS03000
Millicell® ERS 3.0 Digital Voltohmmeter

偵測細胞的跨膜電阻 (TEER ; Trans-Epithelial Electrical Resistance) 和電位 (TEP ; Transepithelial potential (TEP))。
單層細胞生長完整性的確認至關重要,當細胞培養至形成單層緊密連結(tight junction)的程度後,可作為細胞屏障模型。用於研究皮膚、腸道、肺部等屏障對病原體的阻擋能力,或是做為藥物與化合物吸收、滲透… 等研究。
標準屏障試驗中,細胞需生長匯合成緊密連結的上皮細胞單層。TEER跨上皮電阻變化能夠反應細胞單層的匯合程度。TEER 測量是一種經過驗證的、不須標記的快速檢測方式,透過電阻測量值的增加來觀察上皮細胞屏障的形成。
| 應用範圍 | ||
| 細胞屏障模型的 單層細胞評估 |
模擬組織受損的疾病 單層細胞完整性評估 |
藥理研究 |
|
腸胃道 |
發炎性腸病 感染 (細菌、病毒) 傷口癒合 (離子通道) |
藥物吸收 轉運研究 (ex 腸道) 藥物毒性 |
1. 血腦屏障 (BBB) 模型
2. 測試腸道上皮細胞在藥物和其他刺激下的變化
3. 測量呼吸道和上皮細胞的屏障功能
*細胞屏障模型的完整性評估,檢測TEER值
將上皮細胞種到 Millicell®insert內。幾天後,細胞緊密匯合,開始進行 TEER 測量,根據電阻值評估上皮細胞單層的形成。確認細胞匯合完成後,搭配使用染料(例如,Lucifer Yellow)進行通透性測定。

1. 藥物滲透性、藥物代謝與轉運研究
2. 藥物毒性測試
1. 發炎或是病原體感染 (ex: 細菌;病毒),導致屏障受損,通透性增加
2. 傷口癒合
*跨上皮細胞電位差 (TEP) 檢測
極化的單層上皮細胞會在兩側形成電位差,可代表離子運輸所建立的電化學梯度。
偵測電位差有助於了解離子主動運輸及傷口癒合等相關研究。

藉由電刺激,增強單層上皮細胞中鈉鉀幫浦的功能,使得跨膜電位差上升。
1. 肺部呼吸道模型: 可應用於研究氣喘和慢性阻塞性肺病相關研究
2. 皮膚角質細胞: 化妝品的毒性和功效測試,以及皮膚藥物吸收實驗
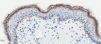
*3D 皮膚細胞培養模型
3D 氣液介面培養皮膚細胞能夠用來模擬皮膚組織屏障的結構和分化功能。可用來替代動物實驗測試、化妝品的毒性和功效以及皮膚藥物吸收系統。

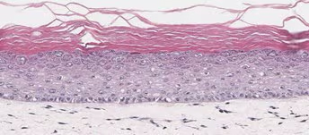
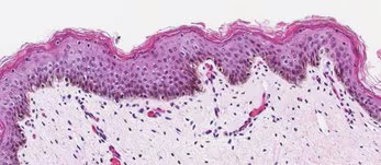
3D 皮膚器官培養模型與新生兒皮膚組織相比 有相似皮膚分層結構的形態
| In Vitro Organotypic Skin Culture | Neonatal Skin Tissue |
![]() |
![]() |
![]() |
![]() |
三端不對稱設計 : 方便加藥和更換培養液
![]() |
★ 適用不同廠牌培養皿 ★ 通透性佳 ★ 規格多 |
| 懸掛式薄膜細胞培養皿 | pore size ( μm) |
device size (wells) |
Item Number | Item Description | qty/pk |
| 經典款 (半透明款) 適用於染色觀察實驗 |
0.4 | 6 | PTHT06H48 | Millicell® Hanging Cell Culture Insert, PET |
48 |
| 12 | PTHT12H48 | ||||
| 24 | PTHT24H48 | ||||
| 1 | 6 | PTRP06H48 | |||
| 12 | PTRP12H48 | ||||
| 24 | PTRP24H48 | ||||
| 新款 (全透明款) 適用於顯微鏡觀察 |
0.4 | 6 | PCHT06H48 | Millicell® Hanging Cell Culture Insert, PET, Clear |
|
| 12 | PCHT12H48 | ||||
| 24 | PCHT24H48 |









